池袋 東池袋駅前デンタルクリニック

東池袋駅から1分、キッズスペース完備、治療中の託児(専門保育士の在籍)、地元密着の歯医者さん

HOME ≫ 治療例 ≫

治療例

治療の経緯

患者様は20代の女性。右下5番目の歯の中心結節という歯の一部が破折してしまったことで痛みを感じて来院された症例です。
痛みの原因は、歯髄腔(神経の部屋)まで到達した破折から感染を起こしてしまったためでした。このためレントゲンでみると歯の根先部には、小指大の大きさの黒い透過像があり、ここに炎症の際に出る膿などが溜まり根尖病変が確認されました。

治療方法

当院でマイクロスコープ(歯科用顕微鏡)を用いて感染根管治療を行い、根っこの先までお薬で緊密に封鎖しました。
治療後、痛みも治まり噛んでも問題なかったので、この症例ではご自身の歯が多く残せる治療法の、コンポジットレジンの直接法(CRを用いたダイレクトボンディング)で完了しました。
治療期間・回数 3回
費用 マイクロスコープを使った精密根管治療など全て保険内の治療のため5000円程度
治療の副作用 歯牙や歯根の破折、リーマー(治療器具)の破損が起こる可能性があります。将来再び痛みが出る可能性もあります。

治療の経緯

前歯のブリッジの見た目が気になる。自分の他の歯と色や形をナチュラルに合わせたい

治療方法

古い被せ物の隙間から虫歯になっていたので虫歯の除去をしつつ、新しい被せ物が合う様に仮歯で形を合わせながら、型取りをして最終の被せ物を入れました。
治療期間 1〜2ヶ月
費用 ジルコニアセラミック 140,000円×4本
仮歯 3,000円×4本
合計572,000円

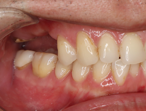
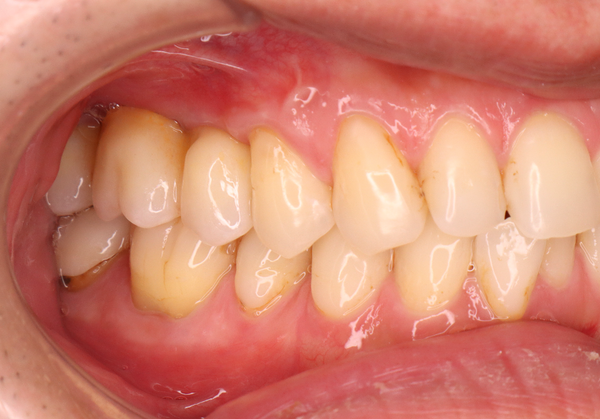
治療の経緯

前歯の被せ物と歯肉の間が黒くなってきて気になる。被せ物のみやり変えて、自分の歯は削らずに綺麗にしたい。

治療方法

元々入っている被せ物を外し、虫歯になっている部分も取り、新しい被せ物に変えました。
治療期間 1〜2ヶ月
費用 ジルコニアセラミック 140,000円×3本
仮歯 3,000円×3本
合計429,000円

 

治療の経緯

前歯が虫歯で根元から折れた。折れていない所も虫歯がひどいので、全体的に治したい。

治療方法

折れてしまった歯は抜歯せず根管治療をマイクロ下で行い、土台を立てた。他の虫歯の歯も虫歯の除去をし、仮歯で形を調整し、型取りをして最終の被せ物を入れました。
治療期間 3〜4ヶ月
費用 根管治療 保険治療
ジルコニアセラミック 140,000円×8本
仮歯 3,000円×8本
合計1,144000円

治療の経緯

前歯の被せ物の形と歯肉の黒ずみが気になる。

治療方法

古い被せ物の隙間から虫歯になっていたので虫歯の除去をしつつ、歯肉の色と形を綺麗になる様に仮歯で整え、ホワイトニングをしてから被せ物を入れました。
治療期間 2〜3ヶ月
費用 ホームホワイトニング 33,000円
ジルコニアセラミック 140,000円×4本
仮歯 3,000円×4本
合計605,000円

治療の経緯

元々の歯の形が小さく、笑った時にすきっ歯になって気になる。また極力歯を削りたくないので必要最小限に削りたい

治療方法

歯肉の形も気になるため歯肉の形を整え、歯肉が治ったら歯の形を整えます。歯を極力削りたくないとの希望もあり、歯の表面の一層だけを1mmほど整え、ベニアタイプのセラミックにより治療を行いました。
治療期間 4~5ヵ月
費用 ベニアセラミック 140,000円×6本 
合計840,000円
治療によるリスク ベニアタイプのセラミックはとても薄いため、普通のセラミック治療より脱離する可能性が少しだけ高いです

治療の経緯

最近アレルギーが出る事が多くなってきたため、口の中の金属を外してアレルギーの原因になる物を減らしたい

治療方法

既存の被せ物を外し、保険のダイレクトボンディング(CR)で治療可能の所は保険治療で行い、保険内の治療が難しいところはセラミックによる治療を行いました
治療期間 1ヶ月
費用 セラミックインレー45,000円×4本
CR(ダイレクトボンディング)保険治療1~2,000円程度×4本
合計188,000円
治療によるリスク CR(保険内治療)やセラミックの特性的に稀に割れる事があります

治療の経緯

歯を抜いて放置をしていたので、そろそろ歯を入れたい、噛める様にしたい

治療方法

CTによる審査診断をした後、インプラントを入れて、2ヶ月の治癒期間を経て、セラミック補綴をしました
治療期間 3ヶ月
費用 インプラント、セラミックの被せ物 合計420,000円
治療によるリスク インプラントは歯周病に弱いため、歯周病にかかると悪化する可能性があります

治療の経緯

右上の歯が取れたので、噛めるようにしたい

治療方法

奥歯は歯根破折していたため、抜歯をし、骨が少なかったため上顎洞にサイナスリフトを行い、骨を補填してインプラントを埋入しました。インプラントブリッジにて被せ物を作りました。
治療期間 動的期間6ヶ月
費用 インプラント埋入2本 600,000円 
サイナスリフト  330,000円
セラミックのブリッジ(クラウン3本分)  450,000円
合計   1,380,000円
治療によるリスク インプラントは歯周病に弱いため、歯周病にかかると悪化する可能性があります

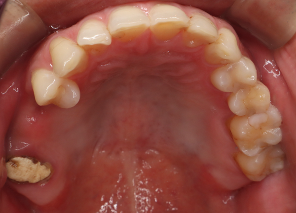
治療の経緯

前歯が歯周病により動揺しており、それに伴い隣の歯の歯肉が退縮したことで、被せ物の境界部が露出、被せ物も古いプラスチックが入っていたので審美的にも気になる状態でした。
 

治療方法

歯周病がかなり進行しており、保存しても予後が悪い事が分かり、左上前歯は抜歯をしインプラントにしていく事になりました。インプラント時には骨吸収がかなりあったため、GBRによる骨造成とインプラント埋入を行いジルコニアセラミックにて治しました。
保存する右上前歯は根管治療を行い、被せ物をジルコニアセラミックにて治しました。
治療期間 10ヵ月
費用 根管治療は保険にて治療 
インプラントストローマン  308,000円
GBR(骨造成とボーンタック)  220,000円
インプラントジルコニアクラウン  165,000円
ジルコニアクラウン  154,000円
合計 847,000円
治療によるリスク 歯周病の悪化に伴うインプラント歯周炎の発生
根管治療を行っているため、歯根破折の可能性

治療の経緯

下の歯もガタガタしているが、上の歯が出てきたら噛み合わせが逆になってしまって気になる。

治療方法

取り外しができる装置による矯正治療を行いました。 
治療期間 動的期間1年3ヶ月
費用 検査費 40,000円 
床矯正装置×5個 210,000円
合計 250,000円
治療によるリスク 取り外し出来る矯正装置なので、決められた時間入れていないとうまく並ばない恐れがあります

治療の経緯

乳歯が生えてきた時から前歯が反対だったが、5歳になり今後が心配との事で来院しました。

治療方法

取り外しができる矯正による矯正治療と舌のトレーニングなどを行いました。
治療期間 動的期間1年
費用 検査費 40,000円 
床矯正装置×2個 90,000円
合計 130,000円
治療によるリスク 取り外し出来る矯正装置なので、決められた時間入れていないとうまく並ばない恐れがあります

治療の経緯

乳歯の時は問題なかったが、永久歯に生え変わると前歯が反対咬合になってしまって気になる。

治療方法

取り外しができる矯正による矯正治療と舌のトレーニングなどを行いました。
治療期間 動的期間1年
費用 検査費 40,000円 
床矯正装置×3個 120,000円
合計 160,000円
治療によるリスク 取り外し出来る矯正装置なので、決められた時間入れていないとうまく並ばない恐れがあります

治療の経緯

永久歯に生え変わってきて、生え変わる度に歯と歯が重なり出してガタガタしている

治療方法

取り外しができる矯正による矯正治療と噛むトレーニングなどを行いました。
治療期間 動的期間1年6ヵ月
費用 検査費 40,000円 
床矯正装置×6個 240,000円
合計 280,000円
治療によるリスク 取り外し出来る矯正装置なので、決められた時間入れていないとうまく並ばない恐れがあります

治療の経緯

上下の前歯の隙間が気になる

治療方法

取り外しができる矯正による矯正治療と舌の突出があるため舌のトレーニングなどを行いました。
治療期間 動的期間1年6ヵ月
費用 検査費 40,000円 
床矯正装置×6個 240,000円
合計 280,000円
治療によるリスク 取り外し出来る矯正装置なので、決められた時間入れていないとうまく並ばない恐れがあります

治療の経緯

歯のガタつきも気になるが、上の犬歯が八重歯になってしまった

治療方法

取り外しができる矯正による矯正治療と噛むトレーニングなどを行いました。
治療期間 動的期間2年
費用 検査費 40,000円 
床矯正装置×7個 300,000円
合計 340,000円
治療によるリスク 取り外し出来る矯正装置なので、決められた時間入れていないとうまく並ばない恐れがあります

治療の経緯

昔から下の前歯のガタつきが気になっていたが、どうしていいか分からなかった。

治療方法

取り外しができる矯正による矯正治療と噛むトレーニングなどを行いました。
治療期間 動的期間9ヵ月
費用 検査費 40,000円 
床矯正装置×2個 90,000円
合計 130,000円
治療によるリスク 取り外し出来る矯正装置なので、決められた時間入れていないとうまく並ばない恐れがあります

治療の経緯

上の前歯が八の字になって真ん中に隙間が出来てしまった。

治療方法

取り外しができる矯正による矯正治療と舌と噛むトレーニングなどを行いました。
治療期間 動的期間1年8ヵ月
費用 検査費 40,000円 
床矯正装置×8個 300,000円
合計 340,000円
治療によるリスク 取り外し出来る矯正装置なので、決められた時間入れていないとうまく並ばない恐れがあります

治療の経緯

前歯が出っ歯になって気になる。他の歯並びも綺麗にしたい 

治療方法

取り外しができる装置による矯正治療と舌のトレーニングなどを行いました。
治療期間 動的期間2年
費用 検査費 40,000円 
床矯正装置×8個 330,000円
合計 370,000円
治療によるリスク 取り外し出来る矯正装置なので、決められた時間入れていないとうまく並ばない恐れがあります

治療の経緯

全体的に出っ歯になっているのを治したい

治療方法

取り外しができる矯正による矯正治療と噛むトレーニングなどを行いました。
治療期間 動的期間2年
費用 検査費 40,000円 
床矯正装置×7個 300,000円
合計 340,000円
治療によるリスク 取り外し出来る矯正装置なので、決められた時間入れていないとうまく並ばない恐れがあります

治療の経緯

正中離開が気になる

治療方法

取り外しができる矯正による矯正治療と舌のトレーニングなどを行いました。
治療期間 動的期間2年6ヵ月
費用 検査費 40,000円 
床矯正装置×6個 220,000円
ワイヤー矯正 180,000円
合計 440,000円
治療によるリスク 取り外し出来る矯正装置なので、決められた時間入れていないとうまく並ばない恐れがあります。
途中ワイヤー矯正も行ったのでワイヤーで固定されている期間は虫歯になりやすいので注意が必要です。

のコピー

治療の経緯

患者様は20代の女性。右下5番目の歯の中心結節という歯の一部が破折してしまったことで痛みを感じて来院された症例です。
痛みの原因は、歯髄腔(神経の部屋)まで到達した破折から感染を起こしてしまったためでした。このためレントゲンでみると歯の根先部には、小指大の大きさの黒い透過像があり、ここに炎症の際に出る膿などが溜まり根尖病変が確認されました。

治療方法

当院でマイクロスコープ(歯科用顕微鏡)を用いて感染根管治療を行い、根っこの先までお薬で緊密に封鎖しました。
治療後、痛みも治まり噛んでも問題なかったので、この症例ではご自身の歯が多く残せる治療法の、コンポジットレジンの直接法(CRを用いたダイレクトボンディング)で完了しました。

のコピー

治療期間 動的期間2年6ヵ月
費用 検査費 40,000円 
床矯正装置×6個 220,000円
ワイヤー矯正 180,000円
合計 440,000円
治療によるリスク 取り外し出来る矯正装置なので、決められた時間入れていないとうまく並ばない恐れがあります。
途中ワイヤー矯正も行ったのでワイヤーで固定されている期間は虫歯になりやすいので注意が必要です。

のコピーのコピー

治療の経緯

患者様は20代の女性。右下5番目の歯の中心結節という歯の一部が破折してしまったことで痛みを感じて来院された症例です。
痛みの原因は、歯髄腔(神経の部屋)まで到達した破折から感染を起こしてしまったためでした。このためレントゲンでみると歯の根先部には、小指大の大きさの黒い透過像があり、ここに炎症の際に出る膿などが溜まり根尖病変が確認されました。

治療方法

当院でマイクロスコープ(歯科用顕微鏡)を用いて感染根管治療を行い、根っこの先までお薬で緊密に封鎖しました。
治療後、痛みも治まり噛んでも問題なかったので、この症例ではご自身の歯が多く残せる治療法の、コンポジットレジンの直接法(CRを用いたダイレクトボンディング)で完了しました。

のコピーのコピー

治療期間 動的期間2年6ヵ月
費用 検査費 40,000円 
床矯正装置×6個 220,000円
ワイヤー矯正 180,000円
合計 440,000円
治療によるリスク 取り外し出来る矯正装置なので、決められた時間入れていないとうまく並ばない恐れがあります。
途中ワイヤー矯正も行ったのでワイヤーで固定されている期間は虫歯になりやすいので注意が必要です。

〒170-0013 東京都豊島区東池袋4-3-15藤和東池袋コープ101

【電話】
03-6384-7700

【診療時間】
平日 9:30~12:30/14:00~19:00
土曜 9:30~12:30/14:00~17:00

【休診】
木曜・日曜・祝日

sakura.png

モバイルサイト

東池袋駅前デンタルクリニックスマホサイトQRコード

スマートフォンからのアクセスはこちら